
Dr. Simon Chard
General Dentist
Experience
13 years
Workplace
Rothley Lodge Dental Practice
License no.
228692
Awards


About
Dr Simon Chard BDS(Hons) BSc(Hons) qualified with Honours from King’s College London Dental Institute in 2012. In 2015 he was voted the Best Young Dentist in London and also the overall Best Young Dentist in the UK at the prestigious Dentistry Awards.
Simon is very passionate about providing beautiful, healthy smiles for his patients and is a big promoter of using digital technology to simplify cosmetic and implant dentistry. Further to this Simon is a director of the British Academy of Cosmetic Dentistry, helping to shape the future of cosmetic dentistry in the UK.
Special interest
- Cosmetic Dentistry
- Dental Implants
- Dental Education
Services
Dental Check-Ups & Exams
New Patient Exam (Adult)from£189
New Patient Exam (Child)from£38
Routine Exam (Adult)from£57
CBCT Scanfrom£261
Second Opinion Examfrom£189
Restorative Treatments
Composite Fillingfrom£138
Broken Tooth Repairfrom£138
Dental Crownfrom£660
Chipped Tooth Restorationsfrom£138
Braces & Orthodontic Treatments
Invisalign Adults from£3638
Treatments

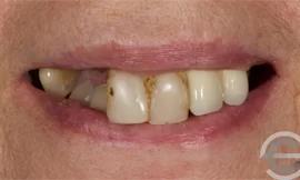
Before
Missing tooth/ denture

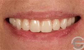
After
Implants and implant crowns
Education
King’s College London Dental InstituteDentistry2008 - 20212
Languages
English
Contacts
+44 1784 453448 info@rothleylodgedentalpractice.co.ukrothleylodgedentalpractice.co.uk
15 Cherry Orchard
Staines TW18 2DE
Write a message