Miss Vaida Buksnaityte
Dental Hygienist
Experience
22 years
Workplace
The Kensington Dentist
License no.
6602
Awards

About
Experienced Dental Hygienist with over 20 years in patient care, focused on preventive dentistry and promoting lifelong oral health. Known for a gentle, supportive approach and a special interest in advanced non-surgical periodontal treatments and teeth whitening
Special interest
- Periodontal Treatments
- Preventive Dentistry
- Teeth Whitening
Services
Preventitive
Bad Breath/ Halitosisfrom£140
Fluoride Applicationfrom£35
Home Oral Care Planfrom£95
Nutrition Counsellingfrom£95
Dental Hygiene
Regular Dental Hygiene£140
Advanced Dental Hygiene£175
Airflow Stain Removal£140
Guided Biofilm Therapy (GBT)£140
Braces Cleaning£140
Cosmetics
Enlighten Teeth Whiteningfrom£750
Teeth Whitening (Home)from£750
Periodontal (Gum) Treatments
Non Surgical Periodontal Therapyfrom£320
Treatments

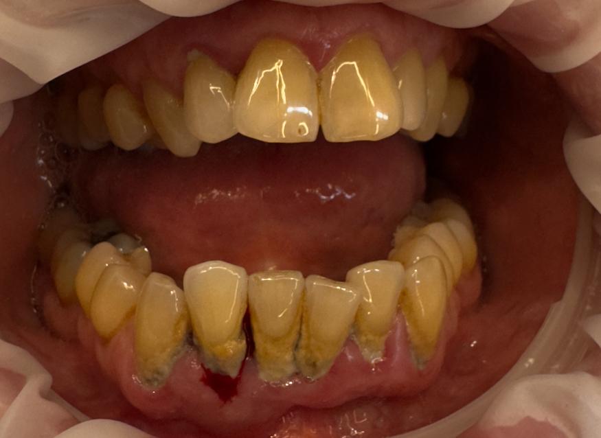
Before
This patient had not visited a dentist or hygienist for over 7 years. Inadequate oral hygiene led to severe gum disease, significant bone loss, and heavy calculus buildup.

After
After just one treatment, the patient’s gum condition stabilised significantly. Only one tooth was lost due to advanced bone loss, and overall oral hygiene has greatly improved.
Education
Kaunas College Science and Medical UniversityDental Hygiene1999 - 2003
Languages
English
Lithuanian
Russian
Contacts
+44 2072 211680vaida@dentigi.comhttps://www.thekensingtondentist.com/
112 Kensington Church Street
London W8 4BH
Write a message